Соңғы жаңалықтар
Соңғы жаңалықтар

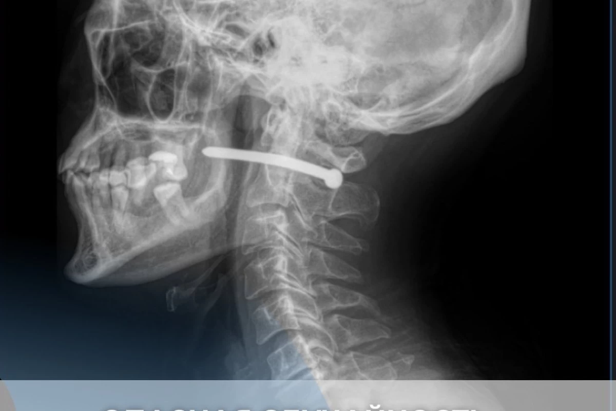
Қазақстандық жөндеу жұмыстарын жүргізіп жүріп мойнына шеге қадап алған

ер адамның мойнына шеге кіргенФото: kbka.sko.kz

Петропавл тұрғыны жөндеу жұмыстары кезінде пневматикалық тапаншадан мойнына абайсызда шеге кіргізіп алған. Бұл туралы Stan.kz ақпарат агенттігі хабарлайды. 

Қалалық көпсалалы жедел жәрдем ауруханасының мәліметінше, 51 жастағы ер адам ауруханаға құлағының артындағы жарақатымен түскен. Жөндеу кезінде ол байқаусызда пневматикалық тапаншадан жарақат алған. Рентген нәтижесінде шегенің мойын омыртқасы маңынан өткені анықталған.

"Ер адам таңғажайып жағдайда аман қалды. Оның өмірлік маңызы бар ағзалары зақымданбады. Жақ-бет хирургтары шегені алып, жараны тазалап, тігіп шықты. Стерильді таңғыш қойылғаннан кейін науқасқа тиісті нұсқаулар беріліп, үйіне жіберілді", – делінген хабарламада. 

Мамандардың айтуынша, мойын аймағындағы жарақаттар аса қауіпті. Себебі бұл жерде ірі қан тамырлары, жүйкелер, тыныс алу жолдары және жұлын орналасқан. Тіпті ұсақ жарақаттың өзі ауыр салдарға әкелуі мүмкін.

Жұмаділлә Нұрила
Сәрсенбі, 22 Қазан, 2025 12:12
Талқылау